
– CNIC/ALEJANDRA AROCA
MADRID 12 Dic. –
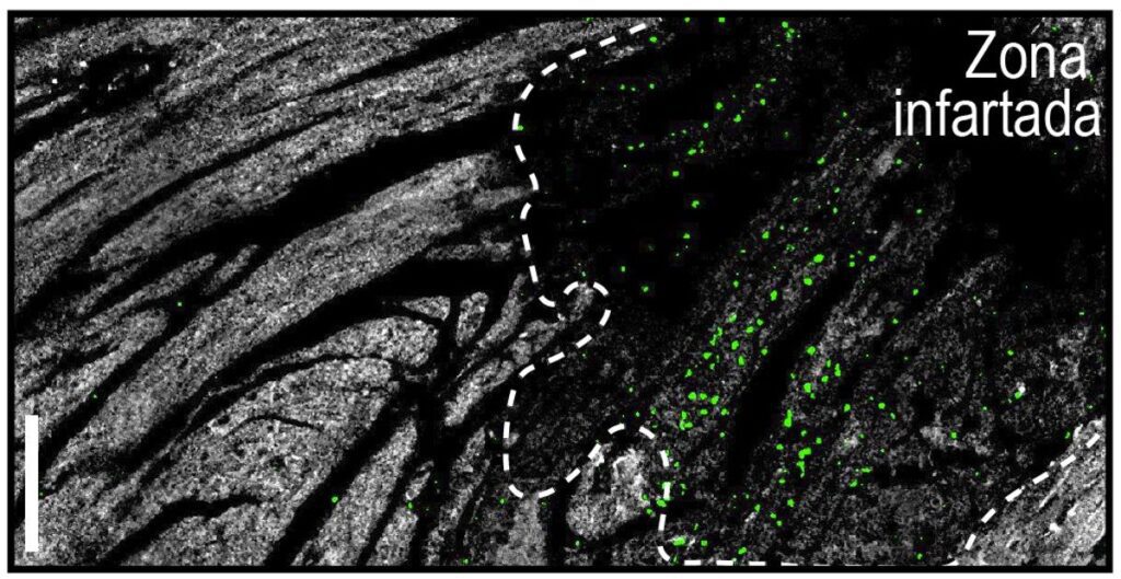
Un equipo de científicos del Centro Nacional de Investigaciones Cardiovasculares (CNIC) ha investigado porqué los infartos que ocurren durante la noche son menos severos que los diurnos, encontrando que esto está relacionado con la variación en la agresividad de los neutrófilos, un tipo de glóbulo blanco.
La investigación, publicada en la revista ‘Journal of Experimental Medicine’, revela la existencia de un mecanismo circadiano en los neutrófilos que afecta su actividad destructiva y el daño causado al corazón tras un infarto.
Considerando que los humanos son una especie diurna, hay una mayor probabilidad de exponerse a infecciones durante el día. Esto provoca que el sistema inmunológico ajuste su actividad al ritmo circadiano. Sin embargo, esto puede ser perjudicial en situaciones de estrés, como los infartos de miocardio, donde el sistema inmunitario puede causar daños graves en los tejidos.
«Por la noche, los neutrófilos se dirigen a la zona dañada sin afectar el tejido sano. Durante el día, pierden esta dirección y causan más daño en el tejido circundante», ha comentado la doctora Alejandra Aroca-Crevillén, primera autora del estudio.
Además, se ha desarrollado una estrategia farmacológica en modelos experimentales para bloquear este reloj molecular, manteniendo a los neutrófilos en un «estado nocturno» y reduciendo su potencial dañino durante infartos. Esto ha demostrado que el bloqueo del reloj circadiano de los neutrófilos no solo protege el corazón, sino que también mejora la respuesta a ciertos microbios y disminuye las embolias relacionadas con la anemia falciforme.
El doctor Andrés Hidalgo, jefe del grupo investigador, explicó que «el compuesto imita un factor que el cuerpo produce principalmente durante la noche», lo cual «engaña» a los neutrófilos para que crean que «es de noche», reduciendo así su actividad tóxica.
Este proyecto se ha desarrollado en colaboración con el doctor Héctor Bueno, líder del grupo de Investigación Cardiovascular Traslacional Multidisciplinaria en el CNIC, después de analizar datos de miles de pacientes del Hospital 12 de Octubre.
Este trabajo representa una de las primeras estrategias que aprovechan los ritmos circadianos del sistema inmunitario para modular la inflamación, preservando la defensa frente a infecciones. Esto «abre la puerta» a nuevas terapias basadas en la biología del tiempo, que podrían proteger el corazón y otros órganos del daño inflamatorio sin debilitar las defensas naturales del organismo.
Además, ha contado con el apoyo de la Fundación La Caixa; los Institutos Nacionales de Salud de Estados Unidos; el Ministerio de Ciencia, Innovación y Universidades (MICIU); y la ANR PRC, entre otros.



